Paciente de 66 años sin antecedentes mórbidos, ingresa por cuadro de fiebre no cuantificada, tos con expectoración y nauseas de 2 días de evolución. Ingresa taquipneica saturando 90%, con crépitos mayor a izquierda. Se solicitan exámenes donde destaca PCR de 430, sodio plasmático de 128, K de 4,0, pH 7,46.
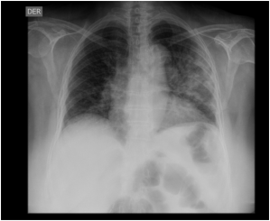
Se solicita la siguiente radiografía:

1-¿Cual es la etiología más probable?
2- ¿Cual es el tratamiento indicado?
3- ¿Qué examen solicitaría para el estudio etiológico?
La radiografía fue informada como opacidades de relleno alveolar bilateral, de predominio izquierdo.
El patrón difuso, asociado a hiponatremia y la molestia gastrointestinal hacen sospecha de legionella como agente etiológico.
El diagnóstico se confirma con antigenuria de legionella en orina positivo.
El tratamiento antibiótico de elección debería ser macrólidos en primera instancia, y quinolonas como segunda opción. Los betalactámicos no tienen acción sobre la legionella.
