Seguramente todos conocemos como funciona la ecografía. Además, no creo necesario explicar cómo funciona el efecto Doppler (con el clásico ejemplo de la ambulancia que se acerca). Y no esperen que les explique quien fue Doppler, porque eso no lo sé.
Lo que si se es siempre le tuve miedo al apretar ese botón que dice Doppler cuando usaba el ecógrafo. Asuman que también me da miedo usar el ecógrafo, pero eso dejémoslo para otra ocasión.
Pues bien, ¿qué debo saber para entender el Doppler?
Todo lo que importa es la velocidad
Simple, rebotando las ondas contra el fluido, logra medir la velocidad con la que esta se acerca (color rojo en Doppler color) o se aleja (azul) al transductor.
El Doppler se puede utilizar de 3 modos.

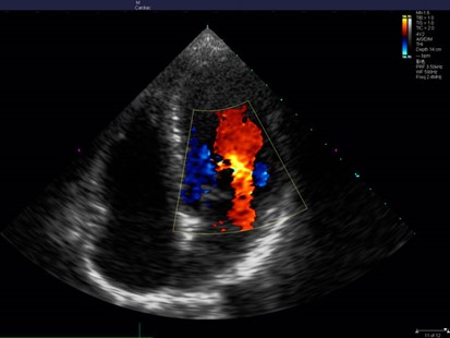
El Doppler color que nos muestra los flujos, donde un ojo con poco entrenamiento puede visualizar movimientos anormales. Este solo muestra color, no entrega ondas. Para hacer cálculos se requiere utilizar algunas de los otros 2 modos.
El Doppler continuo o CW (continuum wave), que mide todo el momento que se produce en la línea del cursor. El ejemplo burdo para explicarlo es que, piensen en una fila de personas. Si 3 personas avanzan, y 1 persona retrocede, este Doppler nos mostraría el movimiento de 2 personas.
El Doppler pulsado o PW (pulsed-wave) mide exactamente donde se pone el cursor, ya que envía ondas a una frecuencia de rebote específico para la zona seleccionada. En el ejemplo anterior, es que midiéramos el movimiento de 1 persona de esa fila, el resultado será independiente de lo que hagan los otros 3. Este modo se ve similar al otro, e incluso en ciertos casos dar una curva similiar, pero bien los ejemplos veremos la diferencia.
Estos últimos son solamente un gráfico de velocidad/tiempo. La velocidad se mide en metros/segundo o Cm/s.

Presiona para que se mueva
Para que un líquido se mueva de una cavidad a otra, se requiere diferencia de presión entre ambas cavidades. Dependiendo de la magnitud de la diferencia, este líquido se moverá más rápido o más lento. Esto lo podemos entender gracias a la siguiente formula:

Donde P1 y P2 son las presiones de las cavidades, y v es la velocidad del líquido. Gracias a esta fórmula podremos calcular la presión en algunas cavidades.
Ejemplo: gradiente de insuficiencia tricuspídea (GIT)
Durante la sístole ventricular, se abre la válvula pulmonar y se alcanza la presión máxima en el ventrículo derecho que equivale a la presión sistólica pulmonar. Si existe un grado de insuficiencia tricuspídea, existirá una parte del flujo que regresa a la aurícula derecha. Gracias a la velocidad de este reflujo se puede medir un estimado de presión arterial sistólica pulmonar.
Para esto hay que medir la velocidad con que refluye la sangre en sístole por la válvula tricuspídea. Nos ponemos a nivel auricular bajo la tricúspide y ponemos en modo CW, obtendremos una curva como esta:

En ella podemos medir la velocidad máxima, y así con la formula ya descrita calcular la gradiente de presión (P1-P2). Esto no funciona si no conocemos cual es la presión de la aurícula derecha (la que sería P2). Esta se estima viendo el tamaño de la vena cava, la que puede estar depletada (con valores de 0-5mmHg) hasta congestiva (20mmHg).
Calcular volúmenes
Esto es la herramienta que cualquier aspirante a urgenciologo sueña realizar. Con un simple ecógrafo calcular el gasto cardiaco. Cuando lo escuche me pareció hechicería. Sin embargo, cuando lo justifica la física, la ilusión de un mundo mágico desaparece. La siguiente formula nos permite calcular el volumen eyectivo del ventrículo izquierdo:

Donde V (mayúscula es volumen), t es tiempo, A el área y v minúscula la velocidad.
El tiempo lo conocemos, es un latido. El volumen correspondería al volumen eyectivo. Para esto debemos saber el área y la velocidad.
El área que utilizamos es el más fácil que podemos medir, conocido como el tracto de salida. (como medirlo lo veremos después, aquí hablamos de Doppler)
Para calcular la velocidad necesitamos la sumatoria de todas las velocidades durante la sístole. Esto se conoce como VTI (Velocity Time Integral). La velocidad debe medirse en el tracto de salida, con modo PW, para así calcular solo la velocidad de esa zona. Lo que nos daría una curva

En el gráfico, de azul es la onda, y en rojo como debemos medir la onda para obtener todas las velocidades. Si uno selecciona medir VTI el equipo solo hace la sumatoria, nosotros debemos preocuparnos solo de dibujar bien la curva.

[…] Modo Doppler: Revisar el artículo del Dr. Max Ceballos sobre el tema: https://monkeyem.com/2017/07/25/entendiendo-el-doppler/ […]
Me gustaMe gusta